Dr Philippe ELLER Chirurgien-Dentiste
69 Boulevard du Canigou, 66240 Saint-Estève
+33 7 88 61 54 32

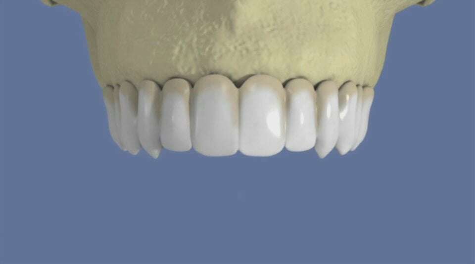
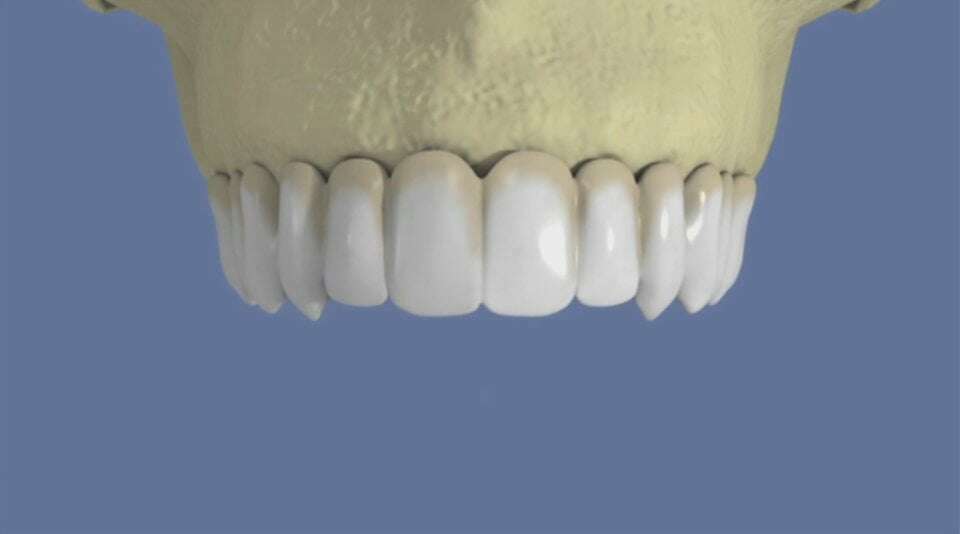
Maxillaire : bridge vissé sans fausse gencive


video-play-icon

Articles similaires

Création par Webdentiste

Connexion